Technology is an integral part of practicing medicine today, and optometry is no exception. Diagnostic technologies in particular have advanced rapidly. As the latest instruments make their way into clinical practice, they also become part of optometric education. The schools and colleges of optometry are committed to ensuring their students graduate with a full understanding of state-of-the-art technology. Many of the diagnostic technologies that optometry students are using today are game-changers for patient care.
► Optical coherence tomography (OCT) is one example. Today’s widely used OCT instruments allow the capture of cross-sectional images of ocular tissue structure with resolution as high as 3 microns.
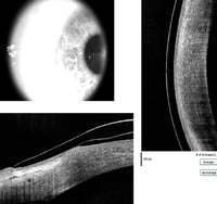
![]() |
|
OCT imaging of bullous keratopathy with a bandage contact lens |
That’s a really close look when you consider that a micron is one-millionth of a meter. One inch contains about 25,000 microns, and the eye of a needle contains about 1,200 microns.
OCT has replaced more invasive diagnostic tests as the primary way of monitoring the progression of many retinal conditions and diseases and their response to treatment. OCT also provides high-resolution visualization of anterior segment structures such as the cornea and angle, and measures the thickness of the retinal nerve fiber layer to aid in the diagnosis and monitoring of glaucoma and other diseases of the optic nerve. Anterior segment
![]() |
| Anterior segment OCT of a scleral contact lens on the eye |
OCT is also used to custom design specialty contact lenses and evaluate proper fit. Originally adopted by specialists, “OCT has become an essential component of primary eye care,” says Thomas A. Wong, OD, Director of New Technologies at SUNY State College of Optometry.
![]() |
| Thomas A. Wong, OD, Director of New Technologies at SUNY State College of Optometry, and fourth-year student Elizabeth Usupov with a refractive power/corneal analyzer that is part of SUNY Optometry's "Digital Eyecare Practice of Tomorrow." |
Most recently, new software algorithms have allowed OCT instruments to perform angiography as well. OCT angiography enables a three-dimensional view of separate layers of retinal blood vessels, including deeper layers not clearly seen with other forms of angiography — without the need to inject dye into the patient’s arm. Its speed and non-invasiveness could revolutionize how and by whom angiography is utilized.
![]() |
| Normal retina as viewed with widefield imaging |
► Traditional fundus photography, while essential for documenting retinal findings from a comprehensive exam, can only capture images of the posterior pole, i.e., about 45 degrees of the back of the eye. Widefield retinal imaging, however, uses scanning lasers to produce images representing up to 200 degrees. Therefore, it enables detection of pathology in the peripheral retina that would not be detected with traditional retinal photography or slit lamp exam. A growing body of research shows that many retinal disease processes manifest first in the periphery.
![]() |
| Fundus photography of proliferative diabetic retinopathy |
Some widefield retinal imaging devices also have fundus autofluorescence (FAF) capability. FAF is another exciting new technology, which non-invasively detects certain byproducts of retinal metabolism that are believed to indicate high risk for disease development. The byproducts, called fluorophores, illuminate, i.e., fluoresce, when exposed to a particular wavelength of light.
![]() |
| Fundus photography of non-proliferative diabetic retinopathy |
► Dry eye, one of the most common ocular conditions, has been difficult to diagnose and manage due to multiple causes and signs and symptoms that vary among patients and overlap with other forms of ocular surface disease. Things got a lot more definitive, however, with the introduction of tear osmolarity testing. Elevated tear osmolarity is a hallmark of dry eye disease and can be used as a metric for diagnosing and determining the severity of dry eye. Tear osmolarity can now be tested in-office quickly and easily, giving doctors an objective and reliable way to diagnose dry eye and monitor treatment. It’s possible, too, for a patient to have ocular surface damage from dry eye but no symptoms, another reason objective testing is such a huge and important paradigm shift.
![]() |
| Fundus autoflourescense of a normal eye with multiple water droplet artifacts |
Other dry eye-related innovations are imaging of the tear film and the meibomian glands using interferometry/topography devices. The new diagnostic tools that utilize these strategies enable objective analysis of the tear film that protects the ocular surface. They measure the actual thickness of the lipid layer of the tear film and provide a much better view of the meibomian glands than can be achieved with the naked eye. Armed with this information, optometrists can better distinguish between two main types of dry eye (aqueous deficient, i.e., reduced tear production, and evaporative, which is gland- and lipid layer-related) and prescribe the appropriate treatment. “For too long we have not had a truly systematic, scientific approach to many common conditions like dry eye. Patients have often been treated in a random fashion. These technologies are leading us to more personalized therapies, which is a growing trend in medicine,” Dr. Wong notes.
![]() |
| Meibomian gland imaging |
► Specular microscopy is an imaging technology for evaluating the corneal endothelium, which is responsible for nourishing and keeping the cornea transparent. Humans are born with a fixed number of corneal endothelial cells, so preserving their numbers and health is crucial for sight. Specular microscopy can not only count the number of endothelial cells but also reveal their size, shape and density, all of which can be negatively affected by disease as well as contact lens overwear. This technology enables earlier and more accurate diagnosis of these problems because such detailed and objective information isn’t obtainable by clinical exam alone.
![]() |
| Spectral microscopy analysis, count and health of corneal endothelial cells |
► Even optometry’s oldest undertaking, refraction, is evolving with advances in technology. Today, refractions can be performed with automated digital equipment, rather than manually, and therefore can be instantly optimized with diagnostic imaging tools and wavefront aberrometry. (Wavefront aberrometry was first developed by astronomers attempting to improve their view of objects in outer space.) With these state-of-the-art refractions, information about how key structures along the optical pathway are affecting vision can be obtained. A wealth of objective data is utilized, which greatly improves accuracy and efficiency compared with standard refractions. The days of seemingly endless “which is better, number one or number two?” may be numbered. The new refractions also help determine the best possible prescription for a patient’s needs, which, for example, may be different for the office, playing sports or driving at night. Digital refractions based on this added data are helping primary care optometrists to provide the best possible vision for patients. They’re also paving the way to the goal of thefuture: the ability to make glasses and contact lenses to ultra-precise specifications that match the precision of the refraction and provide patients with true “high-definition vision.”
![]() |
| Multiple data sets from the optical pathway captured by one instrument to be used as part of a digital refraction |
In a nutshell, “The technologies available to our interns assist them tremendously in understanding how the eye functions and what structural changes occur in the presence of a disease state,” says Robert L. Gordon, OD, FAAO, DPNAP, Clinical Director and Associate Dean of Clinical Affairs at the Western University of Health Sciences College of Optometry. “They provide a window for looking at the various layers of the eye’s structure that lie beneath the surface tissues seen by direct observation.” And a window to their future as optometrists, too. Lorie Lippiatt, OD, President of Salem Eyecare Center in Ohio, a practice that makes it a point to stay on the cutting edge, puts it all in a broad context, saying “Technology vastly increases our diagnostic capabilities, allows us to take care of our patients in a streamlined fashion, and advances optometry in the medical community because we can obtain and communicate meaningful findings to a patient’s other healthcare providers.”
![]() |
| Lorie Lippiatt, OD, uses a digital refraction system at her Ohio practice |














